ESOFAGITIS MEDICAMENTOSA
Es una patología inflamatoria ocasionada por medicamentos. Su etiología se ha relacionado al contacto físico prolongado del medicamento sobre la mucosa esofágica lo que ocasiona toxicidad por daño ácido o alcalino. Los medicamentos implicados incluyen antibióticos como doxiciclina, tetraciclina, AINEs, antihipertensivos, alendronato, hierro y cloruro de potasio. También es llamada esofagitis por comprimidos.
-
1.
Endoscopía
-
1.1
Localización: se localiza principalmente en la unión del tercio proximal y tercio medio de esófago generalmente a nivel del cayado aórtico y bronquio principal. También se ha descrito en tercio distal.
-
1.2
Aspecto: Se presenta como:
- 1.2.1 Úlceras y erosiones, es característica la úlcera en "beso"
- 1.2.2 Exudados o placas blancas y membranas
- 1.2.3 Ocasionalmente puede verse restos del comprimido en el lecho de la úlcera
- 1.2.4 Estenosis
- 1.2.1
-
1.1
-
2.
Microscopía Se caracteriza por:
-
2.1
Arquitectura:
- 2.1.1 Epitelio escamoso con hiperplasia de células basales
- 2.1.2 Papilomatosis
- 2.1.3 Ocasionalmente hiperplasia pseudoepiteliomatosa
- 2.1.4 Exudado fibrinoleucocitario sobre la superficie
- 2.1.1
-
2.2
Cambios epiteliales:
- 2.2.1 Edema intercelular y necrosis de células epiteliales, principalmente superficiales
- 2.2.2 Epitelio escamoso con apariencia de dos tonos:
- 2.2.2.1 Superficie eosinofílica con tejido descamado o necrótico con núcleos picnóticos (aspecto paraqueratosis)
- 2.2.2.2 Profundidad normal con aspecto basófilo por hiperplasia de células basales
- 2.2.2.1
- 2.2.1
-
2.3
Inflamación:
- 2.3.1 Infiltrado inflamatorio intraepitelial predominantemente neutrofílico (leve a severo)
- 2.3.2 Puede haber formación de microabscesos
- 2.3.3 Eosinófilos intraepiteliales pueden estar elevados
- 2.3.1
-
2.4
Estroma:
- 2.4.1 Puede presentar tejido de granulación
- 2.4.2 Identificación de cristales:
- 2.4.2.1 Sulfato ferroso o alendronato
- 2.4.2.2 Kayexalato: cristales basófilos a azul violeta claro, triangulares o romboides, no polarizables
- 2.4.2.3 Hierro: material marrón oscuro, dorado o cristalino, fibrilar, alargado o grueso, refringente y extracelular
- 2.4.2.4 Bifosfonatos: cristales polarizables con células gigantes multinucleadas
- 2.4.2.5 Carbonato de Sevelamer: cristales en escama de pez, irregulares, no polarizables, eosinofílicos, púrpura o marrón dorado
- 2.4.2.1
- 2.4.1
-
2.1
-
3.
Estudios complementarios:
- 3.1 Tinciones de hierro (Azul de Prusia) para identificar cristales de sulfato ferroso
- 3.1
-
4.
Criterios para el diagnóstico patológico:
- 4.1 No existe gold standard
- 4.2 Requiere correlación clínico-endoscópica:
- 4.2.1 Antecedente de toma de medicamentos
- 4.2.2 Aspecto endoscópico compatible
- 4.2.1
- 4.3 Identificación de características histológicas (aunque inespecíficas)
- 4.4 Identificación de cristales (infrecuente pero muy útil)
- 4.1
-
5.
Diagnóstico diferencial:
- 5.1 Esofagitis de reflujo ulcerada:
- 5.1.1 Histológicamente indistinguibles (excepto por cristales)
- 5.1.2 Diferenciación por antecedente y localización (tercio medio vs distal)
- 5.1.3 Cambios crónicos (hiperplasia, papilomatosis) más frecuentes en medicamentosa
- 5.1.1
- 5.2 Esofagitis virales:
- 5.2.1 Presencia de cambios citopáticos virales (herpético, CMV)
- 5.2.2 Puede requerir inmunohistoquímica en casos dudosos
- 5.2.1
- 5.1
-
6.
Referencias
- 6.1 Kim JW et al. "Histomorphological and Immunophenotypic Features of Pill-Induced Esophagitis." PLoS ONE 10(6): e0128110 (2015)
- 6.2 Greenson JK. Diagnostico en patología Gastrointestinal. Lippincott Williams & Wilkins, Chicago, 2009. p.128
- 6.3 Mastracci L et al. Non gastro-esophageal reflux disease related esophagitis. Pathologica 112(3):128-137 (2020)
- 6.4 Dağ MS et al. Drug-induced esophageal ulcers: case series and the review of the literature. Turk J Gastroenterol. 25(2):180-184 (2014)
- 6.5 Gopal P et al. Unique causes of esophageal inflammation: a histopathologic perspective. Ann N Y Acad Sci. 1434(1):219-226 (2018)
- 6.6 Purdy J et al. Sloughing esophagitis is associated with debilitation and medications that injure the esophageal mucosa. Modern Pathology 25:765-775 (2012)
- 6.7 Xing J et al. Airway injury caused by aspiration of iron sulfate pills: a series of eleven cases. Modern pathology (2023)
- 6.1
Imágenes de Referencia
Figura 1: Foto superior: Recuadro indica tejido de granulación. Foto inferior izquierda: Círculo indica hiperplasia de células basales. Flecha indica epitelio escamoso eosinofílico. Foto inferior derecha: Flechas indican neutrófilos intraepiteliales.
Figura 2: Foto superior: Recuadro indica hiperplasia de células basales. Foto inferior izquierda: Círculo indica neutrófilos intraepiteliales. Foto inferior derecha: Flecha señala exudado.
Figura 3: Foto superior: Recuadro indica tejido de granulación. Flecha indica necrosis de célula epitelial. Foto inferior izquierda: Flechas señalan papilomatosis. Foto inferior derecha: Círculos indican exudado fibrinoleucocitario.
Figura 4: Foto superior: Recuadro indica tejido de granulación. Flecha indica necrosis de célula epitelial. Foto inferior izquierda: Flechas señalan papilomatosis. Foto inferior derecha: Círculos indican exudado fibrinoleucocitario.
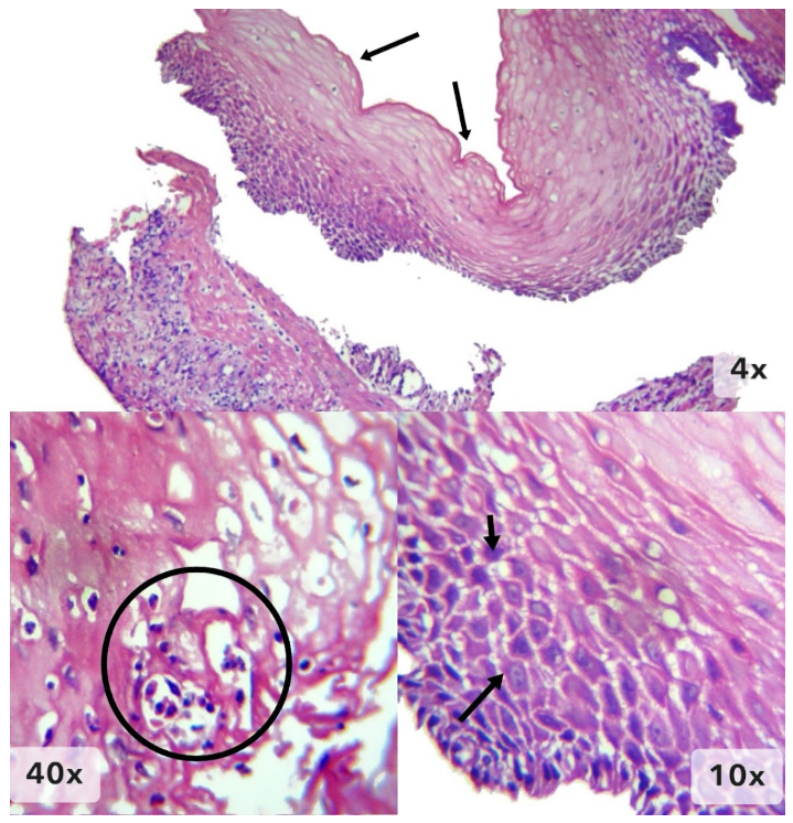
Figura 5: Foto superior: Flechas indican epitelio escamoso eosinofílico con necrosis epitelial. Foto inferior izquierda: Círculo indica neutrófilos intraepiteliales y edema. Foto inferior derecha: Flechas señalan edema intercelular.